Composite veneers
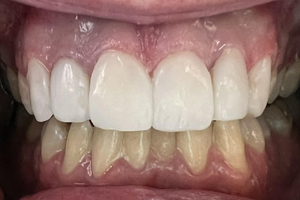
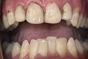
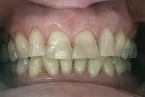
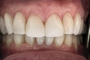
Some of Vinni’s cases – Upper Composite veneers

Composite Veneers are thin layers of composite resin bonded to the front surfaces of teeth.
It is a Cosmetic dental procedure that can be used to repair chipped, cracked, or discoloured teeth. Composite can also be used to fill in gaps between teeth, to lengthen, shorten, or protect the root of a tooth. Composite veneers takes approximately 30 minutes to one hour per tooth in a single visit to the cosmetic dentist. The cost for a composite veneer is $880 per tooth. Composite Veneers have many advantages over traditional cosmetic techniques:
- Natural looking
- Relatively inexpensive
- Requires little or no removal of existing tooth structure
- Easily maintained
- Easily repaired
- Does not wear opposing teeth
- Ability to improve the shape/length of teeth
- Ability to improve the colour of teeth
The dentist begins by selecting a shade of composite resin (bonding material) that is closest to the shade (colour) of your teeth. Then, the dentist roughens the surface of the teeth and applies a liquid that helps the bonding material adhere to the teeth. Various layers and colours of composite resin are then applied to the teeth, smoothed into the desired shape, and hardened with a high intensity light. After the resin has hardened, the dentist will make the final touches and polish the tooth until it resembles the other teeth. If more than one tooth is being repaired it may take several visits to the dentist in order to achieve the desired results. Although very little tooth preparation is necessary to apply Composite Veneers, they are not strictly reversible. If they were removed, at the very least the underlying tooth structure would be affected in the same way that wood is affected after paint has been stripped off.
If you have any teeth that are ‘sticking out’ more than others, sometimes your dentist can remove some of the offending tooth tissue to enhance the cosmetic end result. This will be an option that will be discussed with the patient before proceeding with any tooth removal.
Maintenance of Your New Composite Veneers:
The maintenance of your Composite Veneer is relatively simple. A few suggestions, however, are in order:
- Please brush and floss as you normally would to prevent oral hygiene problems. Once placed, Composite Veneers are typically the kindest restoration to the gum tissues that we currently have in our prosthetic armamentarium. You will not damage your Veneers by either flossing or brushing. Any non-abrasive tooth paste is acceptable. A good home care regimen will ensure the success of your laminate restorations for years to come. The ideal toothbrush for Composite Veneers is an Oral B electric toothbrush with a soft head.
- Some sensitivity to hot and cold may be experienced after the placement of your veneers. Some sensitivity is absolutely normal and usually dissipates after one-two weeks. If this sensitivity should remain or concern you at all, please call your dentist.
- Once placed your laminates are very strong and will resist most of the forces placed upon them by a normal diet. However, opening pistachio nuts with your teeth, chewing on bones or toffee apples is probably not a good idea. As with most things, common sense should prevail.
- If you are known to be a grinder or clencher, please let your dentist know. He/she will fabricate a soft night guard for you to wear to minimize the stresses placed upon your teeth while you sleep.
- Like anything in the mouth, it can be prone to wear and tear. Sometimes Composite veneers can chip slightly, but in most cases they are exceedingly easy to repair. One would be unlucky to have them chip within the first five years unless there was a significant grinding problem
- If there have been substantial changes to the shape of your teeth, occasionally a patient may develop a lisp that lasts for about a week. On the rare occasions it does not resolve spontaneously, your dentist can make some adjustments to remove it.
- The average lifespan of Composite Veneers are 15 years, this can be extended with good homecare and regular maintenance, which you should allow $100 every couple of years. In ideal circumstances 15 years is certainly possible.