
What are Clear Aligner Orthodontics
Your treatment will consist of a series of clear plastic aligners that you switch out about every two weeks. Each aligner is individually manufactured with exact calculations to gradually shift your teeth into place.
Visit us for a consultation to discuss the goals you have for your smile. Once your dentist determines that the treatment is right for you, we will write up a detailed treatment plan with quotes and take impressions, xrays and photos.
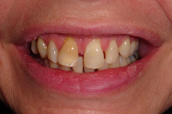
At Wellington Dentists we provide only combination treatment where your teeth have complex problems as well as crooked teeth, such as the case below:

Before 
After Clear Aligners 
After Composite Veneers
For pure Invisalign/Clear Aligners we can refer you to specialist providers in other practices
The impressions of your teeth will be digitized and 3D printed into a sequential set of models from which the aligners are made. These will then be given to you to start the treatment.
You should wear your aligners at all times, with the exception of eating and drinking. During the entire treatment process, you’ll be able to watch your teeth gradually moving into place. Your smile will, little by little, move into something you’d like to show off.
Once your treatment is finished many patients opt for Composite veneers on one or some of their teeth to whiten or reshape them.
Instructions for use of Aligners
- Use your fingers to put your aligners place. First place the aligners over your front teeth, and then use your fingers to push the aligner down gently over your molars. When aligners are correctly inserted, they will fit all the way down on the teeth, with no space between the top of the aligners and the top of the teeth. Aligners will fit tightly at first but should fit well at the end of the two week period.
- Keep aligners in except when flossing, brushing, eating. It’s also best to remove the aligners when drinking warm beverages such as coffee or tea.
- Remove the aligner by pulling it off both sides of your back teeth simultaneously then lifting it off of your front teeth. Place your aligners in the case we provided any time they are not being worn.
- Clean aligners with a toothbrush and toothpaste.
- Wear each set of aligners for two weeks unless our office directs you to vary from this schedule.
- Wear aligners in the correct numerical order. (Each aligner is labeled by number and with a U or an L to designate upper or lower.)
- Keep all of your old aligners and bring them to your orthodontic appointments.
- Don’t place your aligners in or on a napkin or tissue. Many aligners have accidentally been thrown out this way!
- Don’t use your teeth to “bite” your aligners into place.
- If you have pets, don’t place your aligners anywhere that your pets can reach them. Pets are attracted to saliva and would enjoy chewing on your Invisalign trays!
- Do not use Denture cleaner, alcohol, or bleach to clean your aligners.
- Do not use boiling water or warm water on your aligners.
- Don’t chew gum with your aligners in.
- It would be best not to smoke while wearing aligners. The smoke can stain the aligners as well as your teeth.
- Just in Case
- If you lose the tab attached to your tooth that helps the aligner snap on, please call our office right away so that we can determine if you need to come in before your next scheduled appointment.
- If you lose one of your aligner trays, please wear the next tray if you have it. If you do not have the next tray, please wear the previous tray. It is extremely important to use a tray to keep teeth from shifting. Call our office to let us know which tray was lost so that we can determine if a replacement tray is needed. There will be a fee if replacement trays are required.